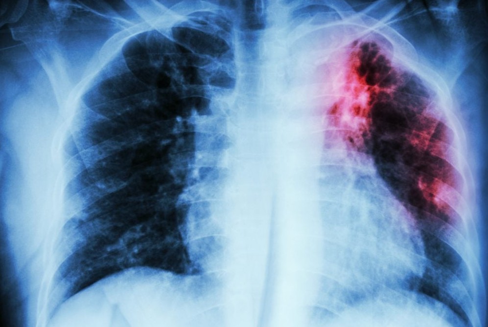
Tes Cepat Molekuler (TCM) Sebagai Revolusi Diagnosis MTB
Di tengah perjuangan global melawan penyakit menular, diagnosis yang lambat seringkali menjadi penghalang utama. Bayangkan, sebuah penyakit kuno seperti tuberkulosis (TBC) masih menjadi momok mematikan, salah satunya karena metode deteksi konvensional yang memakan waktu. Namun, kini hadir sebuah terobosan signifikan: Tes Cepat Molekuler (TCM), sebuah revolusi yang mengubah peta pertarungan melawan TBC dengan kecepatan dan […]













